《上一篇 ▲ 回目錄 ▲ 下一篇》

Contact Report 851/第851次接觸報告
接觸時間:2023年06月30日,星期五,14時41分
接觸地點:SSSC
中譯本註釋
重要提示
- 這是一篇非正式但經授權的FIGU出版物的完整內容。(註:限英譯版)
- 這是一篇完整內容的中譯本。
- 本篇譯文基於「德」→「英」→「中」 而部分也嘗試直接以「德」→「中」 譯製。
注意
這篇翻譯由於德語及英/漢語之間無法解抉的語言差異而包含錯誤(因此與德文差異有可能會更大,敬請留意)。
在閱讀報告本文之前,請閱讀這必要的先抉條件資料,從而理解這份文件。
簡介
資料來源:Future Of Mankind
報告卷屬:
頁碼範圍:
接觸使者:Quetzal
譯者
英版譯者:DeepL Translator, Joseph Darmanin
英譯日期:2023年07月03日,星期一
校對改進:Joseph Darmanin, Catherine Mossman
校對日期:N/A
英版連結:http://www.futureofmankind.co.uk/Billy_Meier/Contact_Report_851
中版譯者:ChatGPT, DeepL Translator, James Hsu
中譯日期:2023年07月05日,星期三
分享網域:浩瀚宇宙之Billy Meier現象《第851次接觸報告》(痞客邦部落格)
資訊備註:這是一篇非正式且未經授權的中譯版資訊,內容基於英譯本翻譯,請注意我們的譯文可能存在錯誤。
中譯者摘要
本次接觸會面談到一些特別的話題,有些也是之前談過的事情,現將重點摘要如下:
一、來自巴西的一份資料,顯示地球上確實存在具有六根指頭(包括手與腳)的人類家族,這不是所謂的「畸形」,而是早在數千年前來自宇宙的外星人後代。
二、一再談到美國,因為Billy曾親眼目睹一些令人不愉快的事情。自從美國建國以來,或者說在這片土地上進行爭奪戰並大規模屠殺當地原住民或印第安人的時候,他和Sfath從一開始就知道一些事情。通常是由移民的歐洲人及其後代所進行。
三、美國實際上有一個長期且令人羞愧的歷史,早已證明在美國,正義幾乎不存在,美國軍隊曾參與了第一次世界大戰,他們實際上沒有必要參與其中,而這顯然是出於純粹的霸權主義心態。此外,當時美國人還將“西班牙流感”帶入歐洲,導致大約250萬人喪生。
四、Billy還批露了曾任美國聯邦調查局(FBI)局胡佛在盯上當時公民權利運動時,他監聽並騷擾了金恩,然後秘密指示將其暗殺,這是由Plejaren在他的要求下揭示的真相。
五、事實上,美國的實際政府和影子政府在這方面使用各種策略,從全球追捕到殺害那些揭露美國政府真相、軍事罪行以及立法和政府的犯罪行為和霸權妄想等的人,無論他們是美國出生還是其他國籍。其中著名的例子就是甘迺迪總統的刺殺案;而近年還有被非法囚禁在英國監獄等待引渡到美國的阿桑奇,以及在俄羅斯尋求庇護的斯諾登等等。
六、此外又談到有關新冠病毒疫情的“疫苗接種”假象與眾多瞞天過海的假訊息,但事實證明:被貶稱為“瘋子”、“陰謀論者”或尤其是“防疫豬隊友”的批評者是對的。他們的嗅覺是正確的:這種疫苗不僅沒有達到承諾的萬靈藥效果,而且是一個典型的無用之物。這些都有真實的資訊來源。
Synopsis/提要
This is the entire contact report. It is an authorised but unofficial DeepL preliminary English translation and most probably contains errors. Please note that all errors and mistakes etc. will continuously be corrected, depending on the available time of the involved persons (as contracted with Billy/FIGU). Therefore, do not copy-paste and publish this version elsewhere, because any improvement and correction will occur HERE in this version!
這是一篇完整的接觸報告。這是一個授權但非官方的DeepL初步英文翻譯,很可能包含錯誤。請注意,所有錯誤和失誤等將持續修正,這將取決於有關人員的可用時間(依照與比利/FIGU的合約所訂)。因此,不要複製粘貼和發佈此版本在其他地方,因為任何改進和修正將會在這個版本中發生!
Billy:
Unfortunately, I got held up, so I will be a few minutes late. However, greetings and welcome, Quetzal.
很抱歉,我被耽擱了一些時間,所以我比預計晚了幾分鐘。但歡迎你,Quetzal。
Quetzal:
My greetings also go to you, and the few minutes of delay do not matter. But if you want to check immediately at …, because I want some plants, which you should order, because they should still be planted on the grounds of the Centre.
也向你致以問候,幾分鐘的延遲並不重要。但如果你想立即到 … 去看看,因為我想要一些你需要訂購的植物,這些植物應該在中心的區域種植。
Billy:
As you wish – – here, you must now say what you want planted.
如你所願 … 在這裡,你想要什麼,你現在可以告訴我。
Quetzal:
So …
那麼 … 。
Billy:
Good, then I will look for – – – here, there are these plants, but what you want, these are trees rather than just low plants.
好的,那麼我去找一下 … 這裡,有這些植物,但是你想要的更像是樹木而不是簡單的低矮植物。
Quetzal:
Yes, that is so, because the Centre area should contain more trees that will thrive in the future in terms of climate, as opposed to those that will die as a result of the climate, which will also change the vigour of the land in the future, for which you should accordingly take precautions by planting climate-appropriate plants. So …
是的,就是這樣,因為中心區域應該種植更多的樹木,這些樹木在未來的氣候下能夠茁壯成長,與那些將因為氣候變化而枯萎的樹木形成對比。未來該地區的植被也將發生變化,所以你們應該適當地種植適應當地氣候的植物作為預防措施。所以 …
Billy:
Of course …
當然 …
Quetzal:
Then we have these plants here, which should be enough for now. We will pick out some more later for you to request.
那麼我們這裡有這些植物,現在應該足夠了。我們以後會再選擇更多你所要求的植物。
Billy:
Then I will see that it works out with the ordering, because something always goes wrong with it, consequently I have to – you see, again it does not go as I want. So I have to call Michael again to manage everything.
那麼我會確保訂購順利進行,因為這方面總是出現問題,所以我必須 … 你看,又不像我想要的那樣進行。所以我得再次打電話給Michael來處理一切。
Quetzal:
Do that.
那就這麼辦。
Billy:
Yes, but first I want to show you this, what I received from my friend José from Brazil and what I put in the next special bulletin and a headline for it. So look here:
是的,但首先我想給你看這個,這是我從巴西的朋友José那裡收到的,我已經放在下一期特別公告中的內容和它的標題。所以請看這裡:
Here Is Something Special Concerning Dear Friends From the
Cosmos and Human Beings Here on Earth With 6 Fingers!
這裡有關於來自宇宙的親愛朋友和地球上具有六根指頭人類的特別報導!
Dear friend, teacher, and true prophet Billy Meier,
親愛的朋友、老師和真正的先知Billy Meier,
Dear Billy, my fellow Brazilians.
親愛的Billy,我的巴西同胞
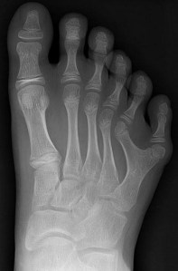
Brazilian family with six fingers and toes on hands and feet.
巴西家庭,手腳上有六個手指和腳趾。
Subject to this 835th contact report, also with real photos attached below:
關於第835次接觸報告的主題,附有真實照片如下:
Conversation between Ptaah of the Plejaren Federation and ‘Billy’ Eduard Albert Meier, BEAM: Eight Hundred and Thirty-Fifth Contact (No. 835) Saturday, February 18, 2023 19:24 hrs, Page 3.
Plejaren聯邦的Ptaah和“比利”愛德華.阿爾伯特.邁爾(BEAM)之間的對話:《第835次接觸報告》(2023年2月18日,星期六,19時24分),第3頁。
Billy:
Of course, it is not supposed to be anything else, because it all corresponds to honesty and its logic, which does correspond to part of the 12 senses of human beings.
當然,它不應該是別的東西,因為這一切都符合誠實和邏輯,這也對應於人類12種感知之一的部分。
Ptaah:
Whereas the Earth-humans are only aware of their 5, if I am not mistaken.
然而,如果我沒有記錯的話,地球人只知道其中的5種。
Billy:
You are quite right, but to say something about it is surely as pointless as pointing out that from time immemorial the number 12 has been the ‘value of all things’, as well as the fact that the ancient ones who came here had 12 fingers and toes instead of 10. They also mixed with the Earthlings at that time, so that it still happens today that very distant descendants are once again ‘equipped’ with it, precisely that they are born with 12 fingers and 12 toes. In addition, there is actually a whole tribe of indigenous people living in the jungle in South America, untouched by civilisation, whose human beings each have 12 fingers and 12 toes, as I saw for myself when I was there with Sfath. Of course, 12 fingers on the hands and 12 toes on the feet are called bodily aberrations or the like by earthly scientists. It is not known to them, after all, that it is a complete naturalness that was once brought here and can now and then break through as heredity in Earthlings whose very early ancestry of parents goes back thousands of years, but this cannot be fathomed, just as it cannot be fathomed that their very early ancestors had mixed with the hereditary ones. As a rule, however, the true earlier ancestry of the ancestors from thousands of years ago cannot be fathomed, which leads back to the parents of 12-fingered children and 12-toed descendants. But what do you want when earthly scientists are so lowly intelligent as to claim things that even a complete idiot must realise the imbecility of. This, how it is asserted that human beings originated in South Africa and migrated to the North, to Asia, etc., etc. And Earth’s humanity believes this nonsense and does not ask how it came about that suddenly white-skinned, yellow-skinned and red-skinned as well as slit-eyed and otherwise completely different types of human beings arose from it. Even the climate, the vegetation and the influences of the living conditions of millions of years were not able to bring about such transformations.
你完全正確,但談到這一點是毫無意義的,就像指出從古代起數字12是表示「萬物的價值」一樣,以及傳統中舊時代的人有12根手指和12根腳趾,他們當時與地球人交配,所以今天還有非常遙遠的後代偶爾會以12根手指和12根腳趾的方式出生。此外,確實還有一個與文明毫無關聯的南美洲原始部落居住在叢林中,他們的人每只手有12根手指和12根腳趾,我自己和Sfath在那裡時看過。當然,地球科學家將手上的12根手指和腳上的12根腳趾稱為身體畸形或類似的術語。他們並不知道這是一種完全自然的現象,曾經傳承下來,並且偶爾會再次出現在遺傳中,特別是在早期祖先的父母有著數千年的傳承時。然而,這一點無法解釋,也無法解釋早期祖先曾與這些傳統人交配。通常情況下,祖先的真正早期來源無法追溯到數千年前,即12指孩子和12趾後代的父母。但是,當地球科學家如此愚蠢,竟然宣稱一些連一個白癡都能辨識出其荒謬的事情時,還能怎麼辦呢?例如,聲稱人類起源於南非,然後向北遷徙至亞洲等等。地球人相信這種胡言亂語,卻不去問,怎麼突然間產生了白皮膚、黃皮膚、紅皮膚以及斜眼等完全不同的人種。即使氣候、植被和數百萬年的生活條件影響,也無法實現這樣的轉變。
14.10.2017, 09:32
2017年10月14日,09時32分
14 Members of a Family From Brazil Have Six Limbs
on Each Hand and Foot.
巴西的一個家庭有14個成員,每隻手和每隻腳都有六個指頭。
They Make the Best of It – as Piano Players or Goalkeepers.
作為鋼琴演奏者或守門員,他們充分利用了這一優勢。
A family with a special genetic mutation lives near the Brazilian capital Brasilia: 14 of the 23 family members have six fingers on each hand and six toes on each foot. The reason for the anatomical peculiarity in the Da Silvas is polydactyly, a rare genetic disorder. (… when earthly scientists are so stupid that they claim things from which even a complete idiot must recognise the imbecility of the whole thing …)
在巴西首都巴西利亞(Brasilia)附近,有一個家庭擁有特殊的基因突變:23個家庭成員中的14個人每隻手都有六個手指,每隻腳都有六個腳趾。這種解結構特異性是由「多指症」(polydactyly;或稱多指畸形)引起的,這是一種罕見的基因疾病。(… 如果地球科學家如此愚蠢,竟然宣稱一些連一個白癡都能辨識出其荒謬的事情 …)
In a feature on the British TV programme ‘Body Bizarre’, the Da Silvas tell how they use genetic mutation to their advantage: João Assis is an excellent goalie: “I can hold balls that would escape others. Thanks to the extra finger, I have a better grip," he says.
在英國電視節目《Body Bizarre》的一個報導中,Da Silvas家族講述了他們如何利用基因突變的優勢:João Assis是一名出色的守門員:“我可以阻止其他人無法阻擋的球。多出來的手指使我握球更好,”他說。
Making the Best of a Genetic Defect
充分利用基因缺陷的優勢
His cousin Maria Morena, on the other hand, is musically gifted: she plays the piano and can play more notes than anyone else with her extra finger. “My piano teacher is jealous of me because I have much more range than him," the teenager says with amusement.
另一方面,他的表妹Maria Morena在音樂方面很有天賦:她會彈鋼琴,可以用她多餘的手指比別人彈出更多的音符。憑藉額外的手指能彈奏比其他人更多的音符。這位十幾歲的少年開玩笑地說:“我的鋼琴老師嫉妒我,因為我的彈奏範圍比他大得多。”
The sixth limb on her hands and feet has become a landmark for the family, ‘Daily Mail’ reports. Family man Francisco de Asis is called ‘Mister Six'". Every time there is a pregnancy in the Da Silva family, the first question is not whether it will be a boy or a girl, but whether the child will have five or six fingers on each hand. (kle)
根據《每日郵報》(Daily Mail)的報導,她手和腳上的第六個肢體已成為這個家族的標誌。家族父親Francisco de Asis被稱為“六先生”(Mister Six)。每當Da Silva家族中有一個懷孕的時候,第一個問題不是男孩還是女孩,而是這個孩子每只手有五個還是六個手指。(kle)
Source: https://www.heute.at/s/sechs-finger-und-zehen-an-handen-und-fussen-55778415
來源:https://www.heute.at/s/sechs-finger-und-zehen-an-handen-und-fussen-55778415
Saalome and warm greetings from your eternally loyal Brazilian friend,
José Barreto Silva
Saalome和溫暖的問候來自你永遠忠誠的巴西朋友,
José Barreto Silva
🕸📜📖🕯It is better to be eternally slapped by the Prophet Billy Meier’s hard, only bitterly true truth than to be fatally kissed by the sweetness and poisonous lie of religions of all colours and denominations.
🕸📜📖🕯與其被所有顏色和教派的宗教的甜蜜而有毒的謊言致命地吻死,還不如永遠受到先知比利.邁爾的嚴厲、唯一真實的真理打一巴掌。
Book OM 32: 1979. “To bury the truth, there are not enough shovels to do it. “*… and those who try end up digging their own graves …😉 (*note by J.B.S) – Billy Meier: The True Prophet of the Modern Age.
書 OM 32: 1979.「為了掩埋真相,沒有足夠的鏟子。」… 而那些嘗試的人最終挖掘自己的墳墓 … 😉(*J.B.S的注釋) —— 比利.邁爾:新時代的真實先知。



Quetzal:
This is very interesting, although it is not an anomaly, as is probably assumed by earthly scientists and called polydactyly by them. What I see here pictorially points to very distant descendants of foreigners who came to the Earth from a distant galaxy many millennia ago and mated with Earth-humans, whose descendants and again their descendants, etc., passed on physical peculiarities down to the present time, thus testifying to the immigration of foreigners to the Earth at very early times.
這非常有趣,但這不是地球科學家所認為的異常情況,也不是他們所稱之為「多指症」的異常情況。我在這裡看到的東西表明了來自遙遠外星系的後代,他們在數千年前來到地球並與地球人交配,其後代又傳承下去,一直到現代繼續傳承身體特徵,這證明了遙遠時期外星人在地球上的移民。
Billy:
Something that is still denied today by the too clever ones of anthropology and other ‘bright minds’ and ‘sharp ones’ and know-it-alls as well as other negators of truth, because in reality and in their lowly intelligence they are only illusory thinkers and incapable of putting 1 and 1 together. Besides, there were once the six-fingered little ones here in the Centre who left their handprints on the bonnets of cars and burnt them into the paintwork. This is because the little ones of this kind have a kind of acid skin, which means that on our world their touches on earthly materials leave acidic marks. We also have photos of this that someone has taken of the acid imprints of the touches. However, these little ones with the acid skin have nothing to do with the other little ones, the Trilans, who come from completely different worlds.
這是一些人類類人學中的聰明人以及其他自以為聰明、自稱是懂行的人和否認真理的人至今所否認的事實,因為他們實際上只是在想像中分不清楚,無法將1和1聯繫在一起。此外,曾經有六指小孩在這個中心,他們在汽車車頂上留下了他們的手印,並在漆面上留下烙印。這是因為這些小孩的皮膚有一種酸性,所以他們在我們的世界上的接觸在地球材料上會留下酸性痕跡。我們還有這些酸性接觸印記的照片,有人拍下了它們。然而,這些具有酸性皮膚的小孩與其他來自完全不同世界的Trilans無關。
Quetzal:
Unfortunately, it will be some time before these ‘sharp ones’, as you call them, will realise the truth, but that will not happen until – – Unfortunately, I am being called for, and so I must leave, but I will be back here in a short time.
很不幸,那些你稱之為“聰明人”的人要認識到真相還需要一段時間,這只有在 … 不好意思,有人在呼叫我,我必須離開,但我會很快回到這裡。
Billy:
Go on then un…
那你就去吧 …
Quetzal:
(15:00 hrs) – – Here I am again. It was important that I …
(下午3點) —— 我又回來了。這是很重要的事情,我 …
Billy:
… it is okay, you do not have to apologise. In the meantime, I have been thinking about America, because just after you left, my secret phone rang, that yes … It was a woman from the USA, and she was complaining as a former German that she was being spied on and harassed by the authorities or something. She complained and asked what she should do about it, etc., so I advised her to go back to Europe. When I tried to comfort her, she said that she would think it over carefully.
… 沒關係,你不需要道歉。在你離開的時候,我對美國有了一些想法,因為正當你不在的時候,我的秘密電話鈴響了 … 一個來自美國的女士打來,她自稱是前德國人,抱怨自己受到當局的監視和騷擾。她抱怨並詢問她該怎麼辦,所以我建議她回歐洲。當我試圖安慰她時,她說她會仔細考慮這件事。
Quetzal:
Whether she will make the correct decision, however, that will be questionable.
然而,她是否會作出正確的決定,那就難說了。
Billy:
Here I still have this letter, and there is written the question of how I manage to be neutral, since I have to have my own opinion and represent it. And I think that this is a question that is certainly not only of interest to this man, Mr. …, so I telephoned him and said that I will read this to you and then answer it according to my sense and consequently it will then be answered in a conversation report, if you agree?
我這裡還有這封信,上面提出了一個問題,詢問我如何在保持中立的同時擁有自己的意見並表達出來。我認為這個問題肯定不僅僅是這位 … 先生所關心的,所以我給他打了電話,告訴他我會將這封信唸給你聽,然後按照我的意見回答,因此,如果你同意的話,我將在接下來的報告中回答這個問題,可以嗎?
Quetzal:
I have no objection to that.
我不反對這樣做。
Billy:
Good, then I have the following to explain: For my part, I am truly neutral and consequently have no opinion whatsoever, because such an opinion always implies that a biased opinion is connected with it, in every respect. But since I really do think absolutely neutrally, I have no partisan direction to take in any respect and consequently also no judgement to make and no saying as to what is correct with regard to a partisanship and therefore what is of the wrong or right of one side or the other. Correctly, I cannot and must not behave and align myself in this wise, but only neutrally ascertain what is actually present and reveal myself in such a manner that I simply name what is effectively given, is currently happening or will have this and that effect for the future. And if it is a question of assessing any action, thing or occurrence, etc., then this must be independent of an opinion, but only insist on thinking in absolute logic and realising that of the whole the logical result can inevitably only be that which has been logically fathomed. Consequently, this alone proves that having an opinion is based on thinking in an effectively biased manner instead of neutrally, resp. on assessing one side as good and the other side as bad. This, however, absolutely contradicts neutrality, because it does not simply state the existing facts, but favours one party and disadvantages the other. So considered correctly, ‘having an opinion’ means that the whole thing corresponds to complete partisanship, because an opinion is never neutral, but always biased towards one side or the other and thus not in accordance with neutrality. Sooner or later and in any case, ‘having an opinion’ always leads to quarrels, which not infrequently leads to war between countries and among human beings themselves often to enmity, hatred, revenge and retaliation, as ultimately to murder and manslaughter, whereby not infrequently everything is controlled in the background by a religiously dependent belief, which stimulates and evokes ambitions of power theories, possession, revenge and retaliation, as well as of torture, torment and massacre in human beings. And, arising from belief – religious or secular – one opinion is inevitably acute, and that is mainly that evil should be repaid with evil, and which is that like should be punished with like, as it happens, for example, in the case of murder with the death penalty, by which the killing is to be ‘atoned for’. In so doing, however, every opinion is wrong throughout the lives of human beings, for to have and hold such an opinion is always fundamentally wrong as well as biased, and leads at least to misunderstanding, conflict, discord, then to injustice and inhumanity, to discord, war and other murder and manslaughter as a result of evil strife, of hatred, revenge, retaliation or greed, etc.
好,那麼我要解釋一下:對我來說,我確實是中立的,因此也沒有任何觀點,因為觀點總是意味著與某一方立場相關聯,無論從哪個方面來說。但由於我真正完全中立地思考,所以我在任何方面都沒有要代表特定立場,因此也無法判斷和說明關於一方或另一方的偏見是對還是錯。正確地說,我不能以這種方式行事和定位自己,而只能中立地確定實際存在的事實,並以這種方式呈現,只說出實際存在、正在發生或將來對某些事物產生的影響。而當涉及評價某種行為、事情或事件等時,這必須與意見無關,而是堅持以絕對邏輯來思考和辨識,只有從整體來看,邏輯推理的結果不可避免地只能是經過邏輯推敲的那樣。因此,僅僅這一點就證明了擁有意見是建立在實際上具有偏見的思維,即將一方認為好,另一方認為壞。然而,這與中立完全相矛盾,因為這樣不僅僅是在陳述現有事實,而是偏袒一方並不利另一方。因此,正確地看待“有意見”意味著整個事情與絕對偏見相一致,因為意見永遠不是中立的,而是始終與一方或另一方有關,並且與中立不符。“有意見”遲早會導致爭吵,這常常導致國家之間的戰爭,人與人之間常常導致敵對、仇恨、報復和報應,最終導致謀殺和殘殺,而且往往在背後,一切都受到宗教上的依賴,這激發並引起了人類追求權力、財富、報復和報應,以及拷打、折磨和屠殺的野心。無論是宗教還是世俗的信仰,都不可避免地帶有意見,主要是要以壞報壞,也就是以同等的方式來懲罰同等的行為,例如對於謀殺,可以通過死刑來“償還”。但這樣每個意見都錯誤地貫穿了人們的生活,因為擁有和堅持這樣的意見始終是基本錯誤和偏袒的,至少會導致誤解、衝突、不和,然後是不公正和不人道,不和、戰爭和其他因惡劣爭吵、仇恨、報復、貪婪等而導致的謀殺和殘殺。
Quetzal:
What you say, I have never given it any thought, because throughout, as long as I can remember, we never learn to think and act other than neutrally, consequently we do not cultivate opinions, but only fact-based …
你所說的,我從未想過,因為自從我記憶起,我們一直都學習以中立的方式思考和行動,因此我們沒有意見,只是事實相關的 …
Billy:
… Excuse me, but with our humanity it is unfortunately different, because Earthlings are consistently burdened with opinions, which is why there are always misunderstandings, as well as quarrels and strife, hatred, murder and manslaughter, as well as crime, human persecution and war, etc.
… 抱歉,但在我們人類中,情況不同,因為地球人普遍帶有意見,這就是為什麼總是會有誤解,以及爭吵、爭鬥、仇恨、謀殺、犯罪、人類迫害和戰爭等。
Quetzal:
That is bitter truth in this world, unfortunately.
遺憾的是,這是這個世界上痛苦的事實。
Billy:
That is the case – unfortunately. But it cannot be changed so quickly. It will only be possible for the human beings and they will slowly, very slowly begin to understand everything when belief, religious and secular, finally disappears. In addition, it must still be recognised that overpopulation alone is the true cause of all destruction in every respect, consequently it must be drastically reduced. But this truth must first arise in the skulls and brains of the Earthlings as a realisation, but through delusion and stupidity the Earthling obviously does not yet understand that overpopulation is the true reason for the destruction of the environment, the destruction of the atmosphere, the climate, the ecosystems, the whole of nature and its fauna and flora by the Earthlings in the form of this overpopulation. But the truth is that the huge mass of humanity is exploiting the Earth’s resources to the hilt, processing what has been stolen from the planet and polluting it, all ecosystems, the atmosphere, nature and its fauna and flora with the resulting products. The end products created with the resources result in destructive waste, which the mass of humanity carelessly and criminally throws out into nature, thus creating the huge and all-destructive environmental pollution. But to stop this and to make the Earthling aware of it will take a very, very long time and will first bring much disaster upon humanity, the planet itself, nature, its ecosystems and fauna and flora, this alone …
是的,很遺憾。但這不會很快改變。只有當信仰,無論是宗教的還是世俗的,最終消失時,人類才能夠逐漸理解一切。還需要認識到,人口過剩才是一切破壞的真正原因,因此必須大幅減少人口。但這個真理必須首先在地球人的頭腦中成為認識,然而通過妄想和愚蠢,地球人顯然還沒有意識到,人口過剩是環境破壞、大氣層破壞、氣候破壞、生態系統破壞、整個自然界及其動植物群系的真正原因。原因的確是,人類這龐大的群體過度開採地球的資源,將這些掠奪的資源加工成產品,並以此產生的產品負荷著地球自身、所有生態系統、大氣層、自然界以及動植物群系。由於資源產生的最終產品帶來了破壞性的廢棄物,大量的人類群體無視和犯罪地將這些廢棄物拋棄到自然界中,從而造成了巨大且具有毀滅性的環境污染。然而,結束這一切並讓地球人意識到這一點將需要非常非常長的時間,並將給人類、地球自身、自然界、生態系統以及動植物群系帶來許多災難,這已經足夠了 …
Quetzal:
… you are not supposed to explain this, because you know …
… 你不應該解釋這些,因為你知道 …
Billy:
… yes, yes, I know, but in the heat of the moment it just happens. Well, you are right as usual, otherwise I would have to resort to my dots again. But it is also better if I talk about something else, namely what went through my mind after the woman telephoned from America. That she is being spied on, that also happens here, because week after week it happens that … That was also photographed by … as you can see here – wait – here, yes, there is one of the photos – there you can see again what happens again and again.
… 是的,是的,我知道,但在關鍵時刻它就是發生了。好吧,你說得很對,否則我又得使用圓點(…)了。但我最好還是談談別的事情,也就是那個女人從美國打電話來之後,我腦子裡想的是什麼。她被監視,這也發生在這裡,因為每個星期都會發生 … 這也被 … 拍攝了,你可以在這裡看到 —— 等等 —— 這裡,是的,有一張照片 —— 你可以在那裡看到一再發生的事情。
Quetzal:
Yes – I know yes, but you should take the pictures but …
是的 —— 我知道,但你應該拍照,但是 … 。
Billy:
Okay, you are probably right about that. Then I would better talk about what went through my mind after the woman phoned. But I do not exactly have anything to say about America that raises the USA to the heavens, because I know a lot of things that are not exactly pleasant and that I have known, together with Sfath, since the beginning, when America came into being, resp. when this land was fought for and the natives resp. the Indians were made a pig of and murdered en masse, usually by immigrant Europeans and their descendants. When I think of Donald Trump, he is not the first president of the USA who was in government as a criminal, just as he is not the first political personality against whom legal and political steps are now being taken, although it is very doubtful that he will ever be sentenced to any punishment in the unjust country of America and that he will never be able to take over the office of president of the USA again. America’s first president, George Washington, was, after all, a murderer who summarily shot a lieutenant of the French before he could even speak a word when the latter, ‘armed’ with a white peace flag on the bayonet of his rifle and with 11 men, wanted to ask for a truce. So he was a murderer, as was his father, a wealthy plantation owner who had several thousand acres of land worked by slaves and beat 2 of his 60 or so slaves to death with his own hands.
好吧,你說的可能是對的。那麼,我最好談談在那位女士打電話後我所思考的事情。然而,關於美國,我沒有什麼好說的,並不是在歌頌美國,因為我知道一些並不令人愉快的事情。自從美國建國以來,或者說在這片土地上進行爭奪戰並大規模屠殺當地原住民或印第安人的時候,我和Sfath從一開始就知道一些事情。通常是由移民的歐洲人及其後代所進行。當我想到唐納.川普(Donald Trump)時,他並不是第一位作為罪犯擔任美國總統的人,也不是第一位受到法律和政治追訴的政治人物。然而,他是否會在美國這個不正義的國家被判處刑罰,並且永遠不能再次擔任美國總統,這是非常值得懷疑的。美國第一任總統喬治.華盛頓(George Washington)就是一個殺人犯,他在一名法國軍官還來不及開口之前,將他當場射殺。當時法國軍官手持著白色的和平旗,帶著11名士兵前來尋求停戰。因此,他是一個殺人犯,他的父親也是如此,作為一個富有的農場主,他讓數千公頃土地由奴隸耕種,並親手殺死了約60名奴隸中的2人。
In truth, there is a long and shameful history of the USA, which proves since time immemorial that justice is written tiny in the USA. On the other hand, however, since time immemorial, the country has issued reprimands resp. brought about prosecutions against bureaucratic and political adversaries that are truly horrifying. This has always been done through the First Amendment, and quite quickly after its creation. The reason for this was the fear of US interference when the passage of the ‘Alien and Sedition Acts’ was invoked by agents of France. This law prohibited even then any ‘malicious false and scandalous writings’ that could be directed against the US president or the US government, as well as against Congress. The Constitutional Amendment thus made any attack – if still justified – a ‘conspiracy’ against measures of the government of the United States, consequently any exposure, however rotten, of machinations, lies, deceit, treachery and underhandedness, etc. of the government and rulers, the military and the intelligence services, is illegal and punishable to the hilt on the part of the ever-present Constitutional Article. This means that it is dangerous and punishable in America – as it is in the outside world, for US citizens – to ‘violate’ the aforementioned constitutional article, including truth-tellers who are not American citizens and foreign nationals. Many such ones are therefore in great danger of being ‘arrested’ by America in accordance with this constitutional article, as is happening, for example, with Julian Assange, with whom England/the UK is criminally aiding and abetting the USA in the implementation of the constitutional article, although Assange is a citizen of Australia. However, this does not matter for the USA and England, what is important is that for America the injustice can be fulfilled, up to and including the liquidation resp. murder of those persons who disregard the constitutional scandal.
美國實際上有一個長期且令人羞愧的歷史,早已證明在美國,正義幾乎不存在。然而,自古以來,政府一直在制定法規或迫害行政和政治對手,這實在令人恐怖。這始於《第一修正案》(First Amendment)的時代,即在其建立後不久。其原因是對美國的影響產生擔憂,正是由於法國的情報人員,才引起了《客籍法和鎮壓叛亂法》(Alien and Sedition Acts)的制定。該法案禁止任何可能針對美國總統、美國政府或國會的“惡意虛假和醜聞文字”。因此,該修正案將任何合理的批評行為視為對美國政府行動的“陰謀”,從而使揭露政府和統治者、軍方和情報機構的任何惡劣行為、謊言、欺詐、背叛和詭計等行為非法並受到嚴厲懲罰。這意味著在美國,對該修正案“違反”是危險和違法的,包括揭露真相的人,他們不具有美國公民權,而是外國公民。因此,許多這樣的人面臨巨大的危險,他們可能會根據這項憲法條款在美國受到懲罰,例如像朱利安.阿桑奇(Julian Assange)這樣的情況,英國在犯罪地幫助美國執行這一憲法條款,儘管阿桑奇(Assange)是澳大利亞公民。但對美國和英國來說,這並不重要,重要的是為了美國能夠實施不義之舉,甚至到了消除或謀殺那些藐視憲法的人的程度。
The unlawful use in this respect, which is contemptuous of every human right and every truth, is a shameful weapon of politics and an example of how a state-sanctioned hysteria is operated by America, which is particularly geared towards ‘suffocating’ alleged domestic and foreign threats at the very outset and preventing them by all means – with murder also not excluded. The fact that the whole of the constitutional article is a deprivation of freedom, a suppression of freedom of opinion and an unparalleled suppression of truth is tacitly ‘accepted’ by the people of America – because they have no other choice, otherwise they will fall into the mills of persecution, which may mean liquidation. The claim that the constitutional article would serve US state security and US government policy is nothing more than a lie and also an example of the fear of America’s government that the hegemony mania and war mania as well as the insidiousness of the US state leadership and the powerful of the shadow government in this respect would become widely known among the dumbfounded population and create turmoil. It is also sadly the case that critics of US government policy are at least muzzled, if not murdered. Lies about external foreign powers have been spread and these have been hostilely slandered, this as hostile, lying and fraudulent disinformation has been raised since ancient times.
在這方面,不合法且蔑視所有人權和真相的行動是政治的可恥武器,也是美國推行的一個國家制定的歇斯底里的例子,特別旨在從根本上“扼殺”所謂的國內和外來威脅,並以各種手段(包括可能涉及謀殺)阻止它們。此外,這一憲法條款還對自由剝奪、壓制言論自由和壓制真相造成了極大的侵害,而美國人民則默默“接受”這一切 —— 因為他們別無選擇,否則他們將陷入迫害的齒輪之中,這可能意味著被消除。聲稱這一憲法條款有助於美國國家安全和政府政策,不過是一個謊言,同時也展示了美國政府對於自身霸權妄想、戰爭狂熱以及相關陰謀的恐懼,擔心這些事實在受愚弄的人民中間被廣泛知曉並引起騷動。因此,令人悲哀的是,美國政府政策的批評者至少會被迫保持沉默,如果不是被謀殺的話。關於外國勢力的謊言被散布和誹謗,這與古代以來一直存在的敵對、虛假和欺詐的誤導相似。
At the time of the Civil War, President Abraham Lincoln ordered newspapers to be shut down, while arrests were even made of congressmen, as well as civilian persons who disagreed with the sleazy machinations of the government and military. Then the USA military entered the First World War – 1914-1918 (in reality, however, the First World War had already taken place from 1756 to 1763, caused by America – which of course has always been denied – but which is deliberately and falsely simply called the ‘Seven Years’ War’ and thus the truth is concealed, in which all the major European powers fought for balance of power and territorial gains. The fact that the truth is concealed is the usual thing), in which they actually had no business being involved and which obviously happened for purely hegemonic reasons. In addition, the Americans alone also brought the ‘Spanish flu’ into Europe, which cost around 2.5 million human lives.
在內戰時期,亞伯拉罕.林肯(Abraham Lincoln)總統下令停止報紙發行,同時還逮捕了議員和不同意政府和軍方卑鄙陰謀的民眾。然後,美國軍隊參與了第一次世界大戰 —— 1914年至1918年(但實際上,第一次世界大戰已經在1756年至1763年發生了,而這場戰爭是由美國引起的 —— 當然,這一點一直被否認 —— 但它被故意錯誤地簡單稱為“七年戰爭”(Seven Years’ War),從而掩蓋了真相,在這場戰爭中,所有歐洲大國都在爭奪權力平衡和領土收益。事實上,事實被隱瞞,這是常見的情況),他們實際上沒有必要參與其中,而這顯然是出於純粹的霸權主義原因。此外,當時美國人還將“西班牙流感”(Spanish flu)帶入歐洲,導致大約250萬人喪生。
Then Congress passed a new sedition law that banned offensive statements, namely profane, scurrilous or disloyal speeches or simply remarks towards the military or the US government. This law, which was used with incredible vehemence and lies to imprison, for example, Eugene Debs, who was running for president for the Socialist Party. He was put in prison from where he then championed his candidacy. The US then, through the US military intervention – actually war supporters of WW2 – accused opponents who did not participate in WW2 as a so-called ‘fifth column’ working for the government of Germany.
然後,國會通過了一項新的煽動性法案,禁止冒犯性言論,包括粗俗、奇異或不忠於軍方或美國政府的言論。這項法律被極端強烈地和謊言濫用,例如逮捕了社會主義黨總統候選人尤金.德布斯(Eugene Debs)。他被關押在監獄中,從那裡繼續推動自己的競選活動。然後,美國通過美國軍事干預(實際上是第二次世界大戰的戰爭擁護者)指責那些未參與第二次世界大戰的反對者,稱其為所謂的「第五縱隊」(fifth column),聲稱他們為德國政府工作。
Then later, in the Vietnam War, as in the Iraq War, as in America’s military interventions in other states where the US intervened, opponents were monitored and harassed by the US government.
再後來,在越南戰爭中,以及伊拉克戰爭和美國干預其他國家的軍事行動中,美國政府對反對派進行監視和騷擾。
If critics of US foreign policy appeared and continue to appear, then they were considered to be criminal critics of the US government, this because they were targeted as a result of their opposition to the government’s rotten policies. And this is also the case today, for example, FBI Director John Edgar Hoover targeted the civil rights movement by wiretapping and harassing Martin Luther King Junior and then having him secretly assassinated, as the Plejaren were able to discover when they investigated the truth at my request. It was also the case that Hoover kept files on those he considered to be agitators and rebels, not stopping short of spying on musicians himself and putting them on his ‘red list’.
如果有人批評美國外交政策,他們就被視為對美國政府的罪大惡極的批評者,因為他們由於反對糟糕的政府政策而成為目標。這種情況在今天仍然存在,例如,聯邦調查局(FBI)局長約翰.埃德加.胡佛(John Edgar Hoover)盯上了公民權利運動,因此他監聽和騷擾了馬丁.路德.金恩(Martin Luther King),然後秘密指示將其暗殺,這是由Plejaren(在我的要求下)揭示的真相。胡佛還對那些他認為是煽動者和騷亂者的人進行檔案紀錄,他甚至讓音樂家受到監視,並將其列入他的「紅色名單」(red list)。
But what is also to be said: The presidents of the Democratic party as well as those of the Republicans have even used the tax authority to make a mess of their political opponents, as for example when President Clinton was supposed to be ‘removed’.
然而,值得一提的是,民主黨和共和黨的總統甚至動用了稅務機關來打擊他們的政治對手,例如,當時克林頓(Clinton)總統被試圖“陷害”。
In drafting the constitutional article and the constitution itself, those in power knew how everything would be handled and always acted upon strictly in order to retain power and use all possible means against their opponents. Therefore, they also devised a limited governance in which might could be absolutely controlled. The American politicians of the first period, when the constitutional articles were created, forced the righteous to give in to it, namely to use the law as a weapon against the people and their opponents. Since then, everything has been expanded even further, consequently the growth of governance has turned into the final construction of unrighteous governance. This has led to an unelected and unlawful handling of the bureaucracy and leadership of the USA, and this is the role that is being played in the USA today. America as a state is today pursuing its own agenda in addition to that of its people, and it is doing so ruthlessly against the effective reality of any desire for peace and the other desires of the American people. The American state resp. the American government is working to infiltrate, harass and eliminate all those of the population and all states of the world who oppose its agenda of terror and violence. That the effective government and the shadow government of the USA are using tactics ranging from worldwide persecution to assassination of those – whether American-born or other nationals – who expose the truth of the US government, the crimes of the military and the legislation and governance and its delusions of hegemony, etc., that is a fact.
在制定憲法條款和憲法本身時,當權者們知道如何處理一切事務,並始終嚴格按照這些條款行事,以保持權力並利用一切可能的手段對付他們的敵人。因此,他們還創造了一個受限制的政府,以便絕對控制權力。當時制定憲法條款的美國政治家迫使正直的人屈服於這一切,也就是把法律當作對付人民和他們的敵人的武器。自那時以來,一切都得到進一步發展,結果國家政府的增長演變成了一個不正當的政府。這導致了美國官僚機構和政府的非法行使權力,這就是今天在美國所扮演的角色。美國作為一個國家,除了追求人民的目標外,還追求自己的計畫,並且對於實際和平願望以及美國人民的其他願望毫不顧忌。美國國家或政府正在努力滲透、攻擊和消除所有反對其恐怖和暴力議程的人民和世界各國。事實上,美國的實際政府和影子政府在這方面使用各種策略,從全球追捕到殺害那些揭露美國政府真相、軍事罪行以及立法和政府的犯罪行為和霸權妄想等的人,無論他們是美國出生還是其他國籍。
What an American person told me in the early 1980s – whose name I am not allowed to mention, which I promised her – when I met her in Dussnang because she was supposed to ‘shadow’ and spy on me, but then sided with me in terms of opinion, is the following, which I cannot reproduce exactly, but in essence, when she said: “While I myself am an American, I must advise the human beings who want to lead and live their lives in real and true freedom, they should not come to America, and not trust that they can find and have in the USA what they really desire. They only find out the real ‘freedom’ that America offers when they want to live it and experience what is really behind it all, what is the effective truth and reality." This is what the man said, arguably voicing what is being operated by the government and shadow government using the aforementioned article of the Constitution. For it is not true freedom that is being promoted and practised, but strict slavery with harsh constitutional articles – as effective slavery was practised and was common practice at the beginning of America, whereby not only human beings in Africa were robbed and enslaved, but effectively also white people, but this is hushed up to this day – which goes as far as farce and even insidious murder, as happened, for example, with President Kennedy.
在1980年代初,一位美國人告訴我 —— 我不能透露她的名字,這是我向她承諾的 —— 當我在杜斯南遇到她時,她本來是來跟蹤和監視我的,但後來她與我的觀點一致。以下是她對我說的話,雖然不是逐字的轉述,但可以表達其意思:「儘管我自己是美國人,但我必須建議那些希望在真正和自由中生活的人們不要去美國,也不要相信他們可以在美國找到和實現他們真正渴望的東西。他們只有在想要活出這種生活並體會真正背後的一切時,才能真正體會到美國所提供的所謂『自由』。」這個人這樣說,他所談論的可能正是根據所提及的憲法條款由政府和影子政府所推動的事情。他們實際上並不促進和實行真正的自由,而是通過嚴格的憲法條款實行嚴苛的奴役制度 —— 就像在美國早期一樣,奴隸制度是如此常見,不僅是非洲人被掠奪和奴役,實際上也有白人,但這一點直到今天還被壓制 —— 這種制度甚至演變成諷刺和陰險的謀殺,就像在甘迺迪(Kennedy)總統的案例中所發生的那樣。
Human beings should be very vigilant and ensure that they do not act against the limits set by the official government and the shadow government of the USA through constitutional articles, otherwise not only mischief but much worse will flourish. The lying assertion that the government and shadow government of the USA is pursuing and exercising a policy of peace and free trade etc. abroad is an unparalleled lie, because it is not the promotion of peace and freedom that is being pursued – as this is not happening in one’s own country either – but the delusion of hegemony, as a result of which America has already spread and taken up residence in almost ¼ of all the states of this Earth and is directing what has to be according to American systems. For example, the possession of firearms in the private sphere is so free and permitted that countless murders occur every year in the USA’s own country, in those states where the acquisition and carrying of weapons is indispensable or permitted by law, that everyone is allowed to ‘defend’ their own land and their own house with a weapon, if someone so much as sets foot on it. Even children shoot their parents, friends and acquaintances in ignorance and carelessness of the use of weapons, whereby a pistol, a rifle or a revolver is regarded as a toy. This, however, as well as deliberately out of hatred, wantonness or simply those who are regarded as enemies, superfluous, annoying or inconvenient, as well as innocent human beings are simply shot in assaults or quarrels etc.. This is America as it lives and breathes, in addition to what is commonplace and unjust with regard to the underhandedness and meanness of the aforementioned constitutional article, the application of which is not only persecuted in America itself, but is even applied worldwide in a very sleazy form. One only has to think of Julian Paul Assange, unlawfully held in Belmarsh Prison in England awaiting extradition to America, and Edward Joseph Snowden, who has sought refuge in Russia.
人們應該非常警惕,確保他們不違反美國官方政府和影子政府通過憲法條款確定的界限,否則將不僅面臨不幸,還有更糟糕的情況。關於美國政府和影子政府在海外實施和執行和平和自由貿易等政策的謊言是無與倫比的謊言,因為他們不追求和平和自由的促進,就像他們在國內也不追求一樣,而是追求霸權主義,這使美國已經在近四分之一的世界國家中佔據地位,並指揮其所應該擁有的美國式系統。例如,在私人領域擁有和携帶槍支是如此自由和被允許的,以至於每年在美國國內都發生無數謀殺案,這些州的槍支購買和攜帶是不可或缺的或合法允許的,只要有人踏入他們的土地或房子,每個人都可以用槍支“保衛”自己的土地和房子。甚至孩子們在不知情和不謹慎使用槍支的情況下開槍殺害他們的父母、朋友和熟人,其中一把手槍、步槍或左輪手槍被當作玩具對待。然而,這種情況不僅出於仇恨、傲慢,或者對被視為敵人、多餘的人、麻煩的人或妨礙的人的報復,還有無辜的人在搶劫、爭執等情況下被槍殺。這就是美國的真實面貌,包括那些關於該提及的憲法條款的詭計和惡意行為,該條款的應用不僅在美國本土,而且甚至以非常卑劣的形式在全球範圍內應用。只需想一想被非法囚禁在英國Belmarsh監獄等待引渡到美國的朱利安.保羅.阿桑奇(Julian Paul Assange),以及在俄羅斯尋求庇護的愛德華.約瑟夫.斯諾登(Edward Joseph Snowden),就能明白這一點。
In the case of Julian Assange, the US is demanding extradition because he published secret documents about the US occupation of Afghanistan and the war in Iraq. What is happening to Assange is what the USA’s constitutional article does to persons who express a certain political opinion and do not agree with what the USA government and its military and the US secret services are doing, not only in the USA but uninhibitedly in all countries of the world – so also in neutral ones. The US wants to make an example of Assange, and they want to silence him by locking him up forever – or murdering him, then mendaciously claiming that he killed himself, that he ‘died’ of heart failure, accident or illness, etc. This is intended to silence all whistleblowers. This is to stop all whistleblowers, as those who openly disclose government, military and intelligence secrets are called, from going public to freely and openly disclose what the secrets of the US really are regarding the wrongdoings of the US government, the US military and the US intelligence agencies active around the world. The message is clear: if someone dares to do it anyway, the person concerned pays a very high price for it – up to and including their treacherous murder.
對於朱利安.阿桑奇,美國要求引渡他,因為他曾公開發布有關美國佔領阿富汗和伊拉克戰爭的機密文件。阿桑奇所遭受的待遇是符合美國所實施的那個憲法條款,對於表達某種政治觀點並不認同美國政府、軍方及情報機構所做的事情的人,不僅僅在美國,而且在全世界各國,甚至中立國家都不受約束。美國想以阿桑奇為例,通過將他永遠關押起來或謀殺他來使他保持沉默,然後撒謊地聲稱他自殺了,或者因心臟衰竭、意外事故或疾病等原因“去世”。這樣做是為了阻止所有的告密者,也就是那些官方、軍事和情報機構中揭露秘密的人,不讓他們向公眾揭示美國的秘密,這些秘密涉及到美國政府、軍方和全球活動中的美國情報機構的不義勾當。其意圖是明確的:如果有人仍然敢於這樣做,那麼該人將付出極高的代價,甚至可能遭到背後的陰謀謀殺。
The events surrounding the Assange and Snowden cases affect all whistleblowers, but it also affects journalists and private individuals who dare to openly speak the truth about America and its ‘constitutional article of shame’ or cooperate with whistleblowers, but it also affects people who support whistleblowers or other persons who take a closer look at the truth in any process. The dirty hammer is that foreign states secretly or openly sympathise with America and punish and persecute their own citizens for US demands. It is not only the human beings who are in danger when they tell the truth, but also those journalists and the press who are dedicated to the truth.
阿桑奇和斯諾登案件的發生涉及到所有的告密者,但也涉及到敢於公開揭示有關美國及其“可恥的憲法條款”真相的記者和普通公民,也涉及到支持告密者或其他謹慎處理真相的人的人們。更可憎的是,一些外國國家暗中或公開地與美國表示同情,對待自己的公民以滿足美國的要求進行懲罰和追訴。這不僅使普通人面臨危險,當他們講出真相時,還使致力於真相的一部分記者和新聞媒體處於危險之中。
In the case of Edward Snowden, it is to be said that, as an American, he was a former US agent who worked as a technical specialist for the US intelligence agencies CIA, NSA and DIA. He ‘revealed’ that the NSA can circumvent certain encryption techniques and effectively weaken standards in a targeted manner, worldwide and thus globally, which also concerns the internet and all telecommunications, which are monitored in particular ‘without suspicion’. However, according to your Plejaren knowledge so far, this does not yet affect every form of encryption possibility, as Bermunda has told me.
愛德華.斯諾登的情況是這樣的,他是一名美國人,曾是美國情報機構CIA、NSA和DIA的技術專家。他“洩漏”了NSA可以繞過某些加密技術,並有目的地削弱標準,這影響了全球範圍,包括互聯網和整個電信通信系統,特別是“無需懷疑”地進行監控的部分。然而,根據你們Plejaren之前的認知,這還未涉及所有加密技術形式,這是Bermunda告訴我的。
Quetzal:
I am not knowledgeable about that, because I have not dealt with the history of America, but I do know about the misanthropic and underhand machinations of the state leadership, the army and the shadow state leadership.
我對此並不瞭解,因為我沒有研究過美國的歷史,但我知道國家領導、軍隊和和影子國家領導層的反人類和陰謀活動。
Billy:
America’s medical companies and corporations are also criminal in nature, so it’s not just the government, the military and the shadow government and the US intelligence agencies. That much of the disaster also emanated from America is slowly being publicly proven, so far unfortunately still not, that many Corona sufferers were only ‘inoculated’ with ‘soluble’ distilled water at the beginning of the epidemic and still some months after the effective spreading of the pandemic in a criminal and money-grubbing manner. This is what I wrote, but afterwards is the article that Achim emailed me:
美國的醫療公司和企業也是罪犯,不僅僅是政府、軍方和幕後國家領導以及美國情報機構。已經慢慢有公開證據顯示美國也造成了很多災難,但遺憾的是,到目前為止還沒有證據證明在疫情肆虐初期和繼續數月後,很多感染新冠病毒的人只被不道德和貪婪地注射了無效的蒸餾水。我寫了這方面的看法,然後Achim給我發來的文章如下:
The following article clearly confirms all the fraud and money-grubbing and sleazy machinations concerning the hasty and ineffective vaccinations against the Corona rampantly spreading disease, as FIGU has reported and exposed from the very beginning:
下面的文章明確確認了有關對冠狀病毒疫苗的欺詐行為、貪婪和不道德的陰謀,這正是FIGU從一開始就報導和揭露的那樣:
WELTWOCHE ON THE COVID LIE
Slap in the Face of the Majority Media
Author: Uli Gellermann, Date: 27.06.2023
《WELTWOCHE》對COVID謊言的報導
對主流媒體的重擊
作者:Uli Gellermann,日期:2023年06月27日
After all: After long years of pharma conformity, Roger Köppel, the editor-in-chief of the Swiss WELTWOCHE, had the courage to confess: “I slept the sleep of the self-righteous" (see video). For the WELTWOCHE had also gone along with the customary lying about Corona. But in another issue of WELTWOCHE there was a sensational breakthrough to the truth. The RATIONALGALERIE proves this slap in the face of the majority media with quotes from the newspaper.
無論如何:經過多年的適應藥物行業,瑞士《WELTWOCHE》的主編Roger Köppel終於有勇氣承認:“我睡了自以為是者的覺”(見影片)。因為《WELTWOCHE》也參與了圍繞冠狀病毒的標準謊言。但在《WELTWOCHE》的另一期中,有一個引人注目的突破揭示了真相。《RATIONALGALERIE》通過報紙的引用證實了這一對主流媒體的重擊。
It is not about a medical debate, it is about the basic questions of freedom and democracy. This is also proven by the manipulative ghost hand that interferes in the debate when you call up the WELTWOCHE video, which wants to dictate to users how they should think: “COVID-19 – Current, scientific information can be found at the Federal Centre for Health Education". Against all freedom of press and opinion, a German authority intervenes in the reporting of a Swiss medium.
這不僅僅是關於醫學辯論,而是關乎自由和民主的根本問題。這也證明了那些介入辯論的操縱之手,當你觀看《WELTWOCHE》的影片時,他們要告訴用戶如何思考:“COVID-19 – 最新的科學資訊可以在聯邦健康教育中心找到”。德國機構干預了一家瑞士媒體的報導,這違反了新聞和言論自由的原則。

The following are quotes from WELTWOCHE:
以下是《WELTWOCHE》的引述:
“These were horror days for the EU – and great moments for the truth. First came the now famous confession of Pfizer manager Janine Small before the European Parliament. On the 10th of October 2022, she admitted that the vaccine had not been tested to stop the transmission of the virus before it was injected millions of times. Already nasty jokes are circulating: There are two mice sitting there. One says, “Are you going to get vaccinated?" Says the other, “Are you insane? The human experiment is still going on."
“對歐盟來說,那是可怕的日子,對真相來說,那是偉大的時刻。首先是現在著名的輝瑞公司經理Janine Small在歐洲議會面前的懺悔。她在2022年10月10日承認,在注射數百萬劑疫苗之前,該疫苗沒有經過阻止病毒傳播的測試。惡意笑話已經開始傳播:兩隻老鼠坐在一起,一隻問:「你打算接種疫苗嗎?」另一隻回答:「你瘋了嗎?人體實驗還在進行中。」
“Covidiotes" Get It Right
“防疫豬隊友”(Covidiotes) 的觀點是正確的
Three days later, on the 13th of October, the European Commission confirmed in an official hearing that vaccination did not protect against transmission or infection (we will come back to this).
三天後,即10月13日,歐洲委員會在一次正式聽證會上確認,疫苗既不能防止傳播也不能防止感染(我們將在後文詳述)。
Finally, one day later, the third piece of bad news: the EU Public Prosecutor’s Office is investigating Commission President Ursula von der Leyen. She is accused of having arranged overpriced deals with the pharmaceutical industry to the detriment of the EU and the taxpayer – and of concealing the incriminating news.
最後,一天之後,第三則壞消息傳來:歐盟檢察機關正在對委員會主席烏蘇拉.馮德萊恩(Ursula von der Leyen)展開調查。她被指控以對歐盟和納稅人不利的方式安排了與製藥行業的過高交易,並隱瞞了相關的消息。”
A single one of these reports would be a medium earthquake – all of them together are the super-GAU for the EU. But not only for them: The narrative of the panacea Covid vaccination, to which manufacturers, scientists and governments worldwide have paid homage, is collapsing.
這些報告中的任何一個都將是一場中等規模的地震,而所有這些消息一起對歐盟來說是超級災難。然而,不僅如此:世界各地的製造商、科學家和政府所奉行的“Covid靈丹妙藥”的敘述正在崩潰。
Conversely, it turns out that the critics who have been called “cranks", “conspiracy theorists" or – most charmingly – “Covidiots" have been proven right. Their hunch was correct: vaccination is not only not the promised panacea. It is a classic nonvaleur: it cost taxpayers billions – without bringing any corresponding benefit.
相反地,事實證明:被貶稱為“瘋子”、“陰謀論者”或尤其是“防疫豬隊友”(Covidiots)的批評者是對的。他們的嗅覺是正確的:這種疫苗不僅沒有達到承諾的萬靈藥效果,而且是一個經典的無價值物品:它耗費納稅人數十億歐元,卻沒有帶來相應的效益。
After the latest revelations, the history of the Corona pandemic and its “management" must be rewritten. But those responsible and their accomplices in the media are doing everything they can to stifle the reappraisal.
在最新的披露之後,必須重新撰寫關於冠狀病毒大流行及其“應對”的故事。但是,負責人及其在媒體中的爪牙正竭盡全力以終止調查。
If you vaccinate yourself against measles, you are protected. Those who vaccinate themselves against Corona are obviously not protected.
接種麻疹疫苗的人會受到保護。然而,接種冠狀病毒疫苗的人顯然沒有受到保護。
Media Outlets Remain Silent
媒體機構保持沉默
This goes as far as outright censorship, as I have experienced first-hand. The facts and contexts described here were also the subject of my column “Dr. Good" on the online network of Portal 24. I linked the article on the business platform Linkedin and on Facebook. But after only two hours, it was over: the posts, which had been diligently read and shared, disappeared silently from the social platforms. Who is afraid of the truth? Where do we actually live? China is apparently in Europe.
這甚至到了公然審查的程度,我就親身經歷過。這裡描述的事實和相互關係也是我在網絡入口網站《Portal 24》的專欄「好醫生」(Dr. Good)中討論的主題。我在商業平台《Linkedin》和《Facebook》上連結了這篇文章。但僅僅兩個小時後,一切結束了:這些文章在社交媒體平台上悄無聲息地消失了,而它們之前被積極閱讀和分享。誰害怕真相?我們究竟生活在哪裡?中國顯然就在歐洲。
And what are the journalists of the big media houses doing, who have done their best to stir up the virus panic and have received millions from the state for the vaccination campaign and further millions in Covid aid in return? They remain silent – and consistently blank out the bombs that hit Brussels the week before last. According to the logic: what we don’t write about doesn’t exist. At the same time, they boast – from Swiss radio and television to Tamedia and CH Media – of spreading “facts instead of fake news" and of standing for “relevance". Fiddlesticks.
那麼,大型媒體機構的記者們在做什麼呢?他們曾竭力煽動病毒恐慌,為此從政府獲得了數百萬用於疫苗接種活動和數百萬用於抗疫援助的資金。他們保持沉默,並完全忽視了在上上週發生在布魯塞爾的爆炸案。完全按照這樣的邏輯:我們不寫的東西不存在。同時,他們自吹自擂 —— 從瑞士廣播電視公司到Tamedia再到CH Media —— 宣稱傳播“事實而非假新聞”,並代表“相關性”。真是一派胡言。
Protective Argument Doesn’t Hold Water
保護性的論點不攻自破
Instead of enlightenment, lights out is the order of the day. Those who react at all to the groundbreaking revelations choose the following fall-back position: “We never said that vaccination protects against infection and further spread. It merely serves to prevent severe courses."
取而代之的是熄燈而非啟蒙。對於這些突破性的揭露,反應的回避立場通常是:「我們從未說過疫苗可以防止感染和傳播。它只是用於預防嚴重病情。」
Wrong! There may have been individual virologists and other experts who expressed themselves more cautiously. But the message of jubilation that was proclaimed with bangs and trumpets was: “The Covid vaccine is the great breakthrough. It protects against infection and transmission. Now we can get the pandemic under control."
錯了!可能有些病毒學家和其他專家表達得更加謹慎。但是,以鼓譟的方式宣佈的喜訊是:「Covid疫苗是巨大的突破。它可以防止感染和傳播。現在我們可以控制疫情。」
There is plenty of evidence for this, from Switzerland, from Europe, from all over the world. Swiss Federal Councillor and Health Minister Alain Berset, the country’s top Corona crisis manager, tweeted on the 12th of August 2021: “Vaccination against Corona protects – against infection, the spread of the virus and against a severe course of the disease." And on 18 November 2021, the Federal Office of Public Health (FOPH) put the “protection against infection" at 90 per cent even with the “booster".
有很多證據來自瑞士、歐洲和世界各地。瑞士聯邦委員會和衛生部長Alain Berset,該國最高的新冠危機管理者,於2021年8月12日在Twitter上寫道:「對抗新冠病毒的疫苗可以防止感染、病毒的傳播和嚴重疾病發展。」瑞士聯邦衛生局(BAG)在2021年11月18日還將“感染防護”在“加強免疫”下估計為90%。
Anthony Fauci: “Anyone who is vaccinated can be sure that he or she will not be infected."
安東尼.佛奇(Anthony Fauci):「接種疫苗的人可以確信自己不會被感染。」
“Vaccination" as a Promise of Salvation
「疫苗」的救贖承諾
EU Commission President Ursula von der Leyen blew the same horn. In her “Declaration on Advancing Vaccination" of 25th November 2021, she claimed: “Vaccination protects you and everyone else." With a booster vaccination we would have to ensure that “those vaccinated so far remain immune". This was precisely the promise made by the responsible politicians to promote their vaccination campaigns: “Those who are vaccinated are immune. Vaccination protects. Vaccination benefits."
歐盟委員會主席烏蘇拉.馮德萊恩也吹起同樣的號角。在她於2021年11月25日的「推進疫苗接種的聲明」中,她聲稱:「接種疫苗可以保護您和其他人。」通過進行加強免疫接種,我們必須確保「已經接種的人保持免疫」。這正是負責的政治家在推廣疫苗接種活動時所做的承諾:「接種疫苗的人具有免疫力。疫苗可以保護。疫苗有益。」
Source: https://www.rationalgalerie.de/home/weltwoche-zur-covid-luege
來源:https://www.rationalgalerie.de/home/weltwoche-zur-covid-luege
Quetzal:
Yes, I am really amazed at that. It seems unbelievable to me that someone still has the courage to uncover the truth and even spread it through the media and make it known. That is really amazing.
是的,我真的很驚訝。我覺得難以置信,居然還有人有勇氣揭露真相,甚至通過媒體來傳播和宣揚。這真的很驚人。
Billy:
There are also still Earthlings who have the courage to tell the truth and even to write and publish it.
確實還有地球人有勇氣說出真相,甚至寫下並發表出來。
Quetzal:
I do not have to look far, because there is someone sitting in front of me at the computer. But now I have to go, because despite my idleness I still have something to do. So I will – and goodbye, Eduard, my friend. You never cease to amaze me, also with all the things you have experienced and learned together with Sfath. Goodbye.
我不用看太遠,因為有個人坐在我前面的電腦前。但現在我得走了,因為儘管我閒置了一段時間,但還是有些事情要做。那麼,再見了,愛德華,我的朋友。你總是讓我驚訝,以及你和Sfath一起經歷、瞭解和學到的一切。再見。
Billy:
You have also known him.
你也曾認識他。
Quetzal:
Of course, that’s true, but he never told me anything about what he and you did together. What I know is only from his annals that Ptaah has spread about our world. But now I really want to go. Goodbye, dear friend, which you have truly become to me.
當然,這是事實,但他從未告訴我關於他和你在一起的事情。我所知道的只是從他的《大事記要》中得知的,這些紀錄是Ptaah讓我們的世界知道的。但現在我真的要離開了。再見,親愛的朋友,你對我來說已經真正成為了朋友。
Billy:
… – Thank you – goodbye, Quetzal – my friend.
… 謝謝你,再見,Quetzal,我的朋友。
(本篇接觸報告結束)